+ Präzise Einblicke in Echtzeit
Sonografie in unserer Praxis
Mit dieser Technologie erhalten wir im wahrsten Sinne des Wortes einen detaillierten Einblick in Muskulatur, Sehnen, Kapselbandapparat, Knochenoberfläche, Knorpel, Blutgefäße und Nerven. Die Untersuchung ist Strahlungsfrei und kann beliebig oft wiederholt werden. Wir können hierbei in Echtzeit Veränderungen sichtbar machen. Bei Bedarf erhalten sie die Bilder auch auf einem USB-Stick.
Knochen im Ultraschall
Mit bildgebendem Ultraschall lassen sich vielfach Brüche der Röhrenknochen hervorragend darstellen. In manchen Fällen sind Frakturen im Ultraschallbild sogar noch besser als im Röntgenbild sichtbar. Zudem ist der Heilungsverlauf mit Kallusbildung strahlungsfrei gut sichtbar. Allerdings können wir mit dem Ultraschall
nicht in den Knochen hineinschauen. Erkrankungen wie Knochenödeme oder Osteoporose lassen sich mit dieser Untersuchungstechnik nicht erknnen.
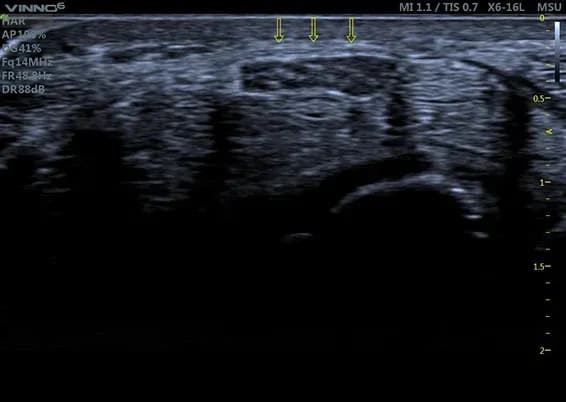
Fraktur am Unterschenkel

Die unterbrochene Knochenlinie ist deutlich sichtbar.
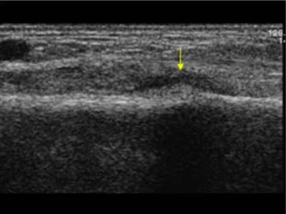
Ermüdungsbruch am Mittelfuß

Diese subtile Veränderung eines beginnenden Ermüdungsbruchs war zum Zeitpunkt der Diagnosestellung im Röntgenbild nicht sichtbar, wurde dann aber in der MRT bestätigt.
Sehnen im Ultraschall
Um Sehnenveränderungen darzustellen, ist die Sonografie der MRT oft ebenbürtig. Auch Muskelverletzungen oder degenerative Muskelpathologien sind sehr gut visualisierbar. Unter Einsatz der Powerdopplertechnologie ist es uns auch möglich, pathologische Blutgefäßneubildung in Sehnen darzustellen.
Kalkschulter

Die Kuppelförmige Kalkansammlung in der Supraspinatussehne ist so dicht, dass die darunter liegende Knochenoberfläche der Oberarmkopfes unterbrochen scheint. Dieses Phänomen nennen wir Schallschatten und sagt etwas über die Ausprägung der Verkalkung aus.
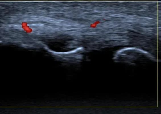
Tennisellenbogen

Die roten Flecken sind sogenannte Powerdopplersignale, welche in diesem Fall eine Neovaskularisation im Zuge einer ausgeprägten Tendinopathie anzeigen.
Muskeln im Ultraschall
Mittels Ultraschall können wir Verletzungen und bestimmte krankhafte Veränderungen im Muskel erkennen.
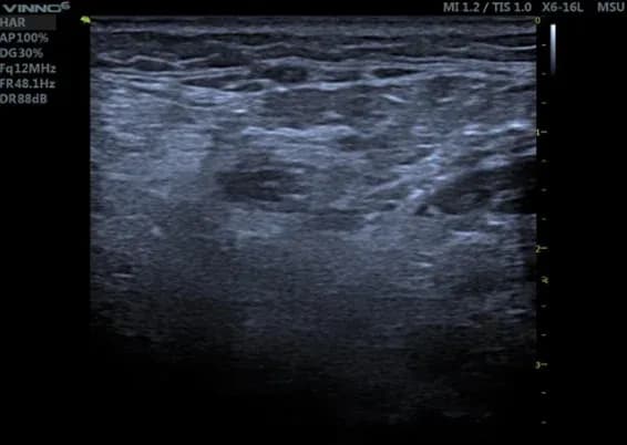
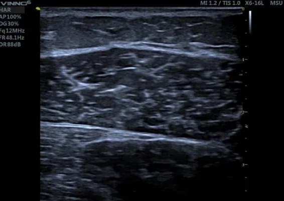
Gesunder Muskel

Diese Abbildung zeigt das Bild eines gesunden Wadenmuskels.
Pathologie am Muskel

Dieses Ultraschallbild zeigt einen durch Polyneuropathie geschädigten Wadenmuskel.
Nerven im Ultraschall
Dieses spezielle Feld der Sonografie ist relativ neu, da erst in jüngerer Zeit die Bildauflösung derart verbessert wurde, dass diese filigranen Strukturen dargestellt werden können. Wenn es zu einer Nervenkompression kommt, wie zum Beispiel beim Karpaltunnelsyndrom, schwillt der betroffene Nerv vor Eintritt in den Engpass an. Diese Veränderung des Nervs ermöglicht eine sichere und unkomplizierte
Diagnosestellung.
Mittelhandnerv

Dies ist die Darstellung eines leicht vergrößertem Nervus medianus bei
Karpaltunnelsyndrom